江苏省农业科学院2026年度博士后招收公告
2026-03-02
江苏省农业科学院2025年“紫金人才”引进公告
2025-09-16
"徐麦35"品种经营权转让公告
2026-03-25
关于申报中国国际人才交流基金会2026年度国际青年人才来华交流项目的通知
2026-03-24
关于中心实验室新仪器免费试用及原有仪器自主上机的通知
2026-03-24
2026年1-2月新授权专利转让公告
2026-03-16
关于“南粳9068”职务科技成果赋予长期使用权及转化的公示
2026-03-16
关于“南粳9058”职务科技成果赋予长期使用权及转化的公示
2026-03-16
江苏省农业科学院农业资源与环境研究所公开招聘非在编工作人员公告
2026-03-16
关于申报2026年院海外引智项目的通知
2026-03-10
通知公告
江苏省农业科学院2026年度博士后招收公告
2026-03-02
江苏省农业科学院2025年“紫金人才”引进公告
2025-09-16
"徐麦35"品种经营权转让公告
2026-03-25
关于申报中国国际人才交流基金会2026年度国际青年人才来华交流项目的通知
2026-03-24
查看更多
农科要闻
AGRICULTURAL NEWS
中国农业科学院北京畜牧兽医所所长张军民一行来院调研...
党委委员、副院长孙洪武带队调研江苏睢宁现代农业科技...
院党委树立和践行正确政绩观学习教育工作专班召开第二...
院企“双向奔赴” 共推“科产融合”——我院与省农...
院长、党委副书记朱艳带队调研南京农业大学三亚研究院...
中国农业科学院北京畜牧兽医所所长张军民一行来院调...
2026-03-26
3月25日,中国农业科学院北京畜牧兽医研究所所长张军民一行来畜牧所调研交流。院党委委员、副院长王冉主持接待,畜牧所领导班子及各团队负责人参加...
党委委员、副院长孙洪武带队调研江苏睢宁现代农业科...
2026-03-25
为深入落实农业农村部科技发展中心《关于推进吉林长春、江苏睢宁现代农业科技试验示范基地高水平建设的通知》精神,3月24日,党委委员、副院长孙洪...
院党委树立和践行正确政绩观学习教育工作专班召开第...
2026-03-24
3月23日下午,我院树立和践行正确政绩观学习教育工作专班召开第2次会议。院党委书记、党建工作领导小组组长王克华出席会议并讲话。党委副书记、学...
院企“双向奔赴” 共推“科产融合”——我院与省...
2026-03-24
为深入贯彻落实省委农村工作会议和全省科技强农推进会精神,3月20日,我院与省农垦集团联合举办“农业科技创新和产业创新深度融合”对接会。院党委...
我院召开2026年第5次党委会
2026-03-24
3月23日,我院召开2026年第5次党委会。院党委书记王克华主持会议,全体在家党委委员出席会议,相关管理部门主要负责人列席会议。会议学习了习...
查看更多
ACADEMIC RESEARCH
SCIENCE AND TECHNOLOGY SERVICE
学术科研
科技服务
2026-03-26
农经所召开国家社科基金申报动员会并开展基金申报培训
3月26日,农经所联合院学委会农村经济学部召开国家社科基金申报动员会并开展基金申报培训,副所长亢志华主持。本次培训邀请了...
2026-03-25
质量安全所畜产品团队在沙门菌噬菌体跨宿主抗感染机制研究中取得新进...
沙门菌是全球范围内引发食源性疾病的关键致病菌,每年造成数亿人次感染。面对日趋严峻的细菌耐药性(AMR)问题,噬菌体凭借其...
2026-03-25
免疫所参与的无针皮内注射新疫苗获得临床试验批件
近日,江苏省农业科学院联合浙江鼎持生物制品有限公司、北京鼎持生物技术有限公司、兽用生物制品(泰州)国泰技术创新中心及江苏...
2026-03-24
花卉团队在杜鹃、绣球城市土壤改良方面取得重要阶段性研究进展
城市土壤是城市生态系统的重要基底,肩负着绿化景观、生态调节、碳汇等多重使命。然而,碱性强、容重高、重金属污染等问题在城市...
2026-03-24
兽医所揭示猪流行性腹泻病毒变异株逃逸体液免疫的新机制
猪流行性腹泻(PED)作为一种急性、高度接触性肠道传染病,由猪流行性腹泻病毒(PEDV)引起,常导致仔猪严重腹泻和高死亡...
2026-03-19
中国农村技术开发中心委托项目“农业科技成果转化路径分析”成果交流...
3月14日,由我院易中懿研究员主持的中国农村技术开发中心课题农业科技成果转化路径分析研究阶段性成果交流会在我院召开。中国...
2026-03-19
兽医所轮状病毒新型基因工程疫苗研制取得新进展
轮状病毒(rotavirus,RoV)是引起婴幼儿及仔猪、犊牛等幼龄动物发生严重腹泻的人畜共患病原,危害人类健康和畜牧业...
2026-03-19
蔬菜所茄子创新团队在茄子Saet源胞质雄性不育育种利用方面取得新...
细胞质雄性不育(CMS)/核育性恢复(Rf)体系是作物杂种优势利用的核心工具,可替代人工去雄、大幅降低杂交制种成本、提升...
2026-03-18
植保所邀请俄罗斯科学院苏卡乔夫森林研究所Igor Pavlov教...
为促进国际学术交流,加速知识创新与文化交流,3月16日,植保所小麦病害防控创新团队邀请俄罗斯科学院苏卡乔夫森林研究所副所...
2026-03-18
江苏省农机研发制造推广应用一体化试点项目《肉鸭立体养殖关键装备研...
3月12日下午,由装备所承担的江苏省农机研发制造推广应用一体化试点项目《肉鸭立体养殖关键装备研产推用一体化》启动会在我院...
2026-03-16
装备所参与完成的科研成果荣获神农中华农业科技奖二等奖
近日,中国农学会公布了2022—2023年度神农中华农业科技奖评审结果。由江苏大学牵头、江苏省农业科学院作为第二完成单位...
2026-03-11
茶创新团队在黄光组合萎凋提升红茶香气品质方面取得阶段性进展
红茶是全球消费量最大的茶类,也是我国茶产业的核心品类,其香气品质是决定红茶经济价值的核心指标。因此,提升红茶香气品质对提...
2026-03-10
免疫所动物疱疹病毒创新团队在鸡传染性喉气管炎自复制mRNA疫苗研...
近日,免疫所动物疱疹病毒创新团队在禽病学国际权威期刊《Poultry Science》(IF=4.2,中科院二区)上发表...
2026-03-05
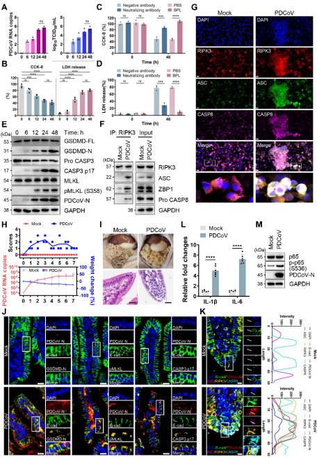
兽医所揭示宿主抵御病毒新策略
猪δ冠状病毒(PDCoV)是一种新发肠道冠状病毒,主要导致新生仔猪严重腹泻、呕吐、脱水和死亡,对全球养猪业带来巨大经济损...
2026-03-03
中科院遗传所刘志勇研究员应邀到资源所进行学术交流
为进一步拓宽科研人员学术视野,深化学科交流与合作,3月2日下午,中国科学院遗传与发育生物学研究所刘志勇研究员应邀到访我所...
查看更多
2026-03-27
亚夫科技服务盘城工作站开展春季蔬菜生产管理指导
为推进亚夫科技服务项目“高品质果菜绿色高效轻简化栽培技术集成示范推广”实施,3月25日,亚夫科技服务江北新区盘城工作站赴...
2026-03-27
深耕碧溪十五载 科技兴蔬再启航——蔬菜所与常熟市碧溪街道续签战略...
3月25日,常熟市经开区(碧溪街道)到蔬菜所开展科技交流,并续签蔬菜所与碧溪街道第三轮现代农业战略合作协议。常熟市农业农...
2026-03-27
沿海所亚夫科技服务项目实施推进暨培训观摩会在东台成功召开
为全面总结亚夫科技服务项目“江苏沿海地区大豆-油菜大面积单产提升关键技术示范与应用”阶段性成效,全力推动项目高质量落地见...
2026-03-26
科技赋能春管 护航香梨产业
春回大地,农事渐忙。近日,为助推新疆建设兵团第二师铁门关市果园春季管理水平,植保所细菌病害创新团队带头人赵延存研究员和巩...
2026-03-25
“短视频+直播”赋能亚夫精神传播——连云港专家云端授课助力洋葱产...
为深入贯彻落实“亚夫精神”,推动农业科技服务下沉一线,提升特色农产品全产业链科技支撑能力,3月19日,一场别开生面的直播...
2026-03-23
亚夫科技服务如东曹埠工作站入户指导小麦拔节孕穗期管理
当前小麦陆续进入拔节孕穗期,这一时期是决定产量形成、抓好田间精准管理的重要节点。3月18日,亚夫科技服务如东曹埠工作站联...
2026-03-23
资源所亚夫科技服务团调研指导涟水特色玉米全产业链发展
人勤春来早,春来正当时。春分时节,资源所党总支书记徐红兵、副所长张云辉、江苏星光餐饮总经理康光耀一行6人赴淮安市涟水县保...
2026-03-20
亚夫广陵庆丰工作站举办小麦和稻渔综合种养专题培训会
为发挥亚夫科技服务工作站在农业生产中的科技指导作用,3月18日,亚夫科技服务广陵庆丰工作站在扬州市广陵区头桥镇庆丰村举办...
2026-03-19
亚夫科技服务项目“设施果蔬(草莓、番茄、西瓜)提质增效关键技术示...
3月6日,由南京所牵头的亚夫科技服务项目——“设施果蔬(草莓、番茄、西瓜)提质增效关键技术示范与推广”项目推进会在南京市...
2026-03-19
亚夫科技服务铜山房村工作站开展春季茄果类蔬菜技术指导服务
当前正值早春设施茄果类蔬菜生长关键期,为切实解决种植户在生产中遇到的技术难题,3月16日,亚夫科技服务铜山房村工作站组织...
2026-03-19
亚夫科技服务项目“洞庭山碧螺春茶提质增效技术集成与示范推广”培训...
3月17日,由太湖所王毓宁研究员主持的亚夫科技服务项目“洞庭山碧螺春茶提质增效技术集成与示范推广”培训会在金庭镇洞庭山茶...
2026-03-17
亚夫科技服务广陵庆丰工作站指导小麦和稻虾种养春季生产
当前正是小麦拔节孕穗和稻虾生态种养种苗投放关键时期,3月12日,亚夫科技服务广陵庆丰工作站组织里下河所寇祥明研究员、韩光...
2026-03-17
金湖吕良亚夫工作站举办小麦培训观摩会,科技助力夏粮丰产
当下正值小麦拔节孕穗的关键时期,为抓好春季田间管理,夯实夏粮丰收基础,3月13日,金湖吕良亚夫工作站联合金湖县农业技术推...
2026-03-16
亚夫科技服务盘城工作站深入一线 护航春提早蔬菜定植生产
当前正是大棚春提早蔬菜定植的关键时期。3月12日,亚夫科技服务江北新区盘城工作站组织专家团队走进盘城街道种植一线,为种植...
2026-03-16
装备所亚夫科技服务团队赴南京邦诚农副产品有限公司调研交流
3月12日,装备所副所长李鹏霞带领亚夫科技服务农产品保鲜技术与装备创新团队,联合六合区农业农村局局长刘飞、项目示范基地南...
查看更多
LOCAL NEWS
PARTY BUILDING CULTURE
INDUSTRY INFORMATION
MEDIA FOCUS
处所新闻
基层党建
行业信息
媒体聚焦
27
2026.03
巾帼心向党 奋进新征程——兽医所开展“三八”妇女节主题活动
兽医所
26
2026.03
动物用生物制品国家工程研究中心主任王云峰受邀到免疫所做报告
免疫所
26
2026.03
辽宁省农业科学院信息研究所所长王昕一行来信息所调研交流
信息所
26
2026.03
山东省济南市平阴县副县长赵鹏一行来休闲所调研交流
休闲所
26
2026.03
AI 助研提高效 —— 畜牧所举办人工智能驱动科研应用专题培训
畜牧所
24
2026.03
资环所举办“春日赴农趣 巾帼享芳华”三八国际劳动妇女节主题活动
资环所
26
2026.03
党建引领聚合力 科普赋能助三农 ——信息所党总支信息服务党支部与省科学传播中心第三党支部开展党建共建...
信息所
26
2026.03
休闲所召开全体党员大会暨树立和践行正确政绩观学习教育动员会
休闲所
24
2026.03
人事处(组织部)党支部召开树立和践行正确政绩观学习教育动员会
人事处
24
2026.03
基建管理处召开党员大会 动员部署树立和践行正确政绩观学习教育
基建处
24
2026.03
检测中心党支部启动树立和践行正确政绩观学习教育
检测中心
24
2026.03
离退休党建工作部与南京医科大学离退休党委联合开展主题党日活动
离退休处
16
2026.03
中华人民共和国国民经济和社会发展第十五个五年规划纲要
新华社
16
2026.03
政府工作报告
新华社
03
2026.03
2026年江苏省委一号文件发布
江苏省人民政府
12
2026.02
科学技术部令第24号 科学技术活动违规行为调查处理规定
科技部
09
2026.02
政府工作报告——2026年2月3日在江苏省第十四届人民代表大会第五次会议上
中共江苏省委新闻网
04
2026.02
中共中央 国务院关于锚定农业农村现代化 扎实推进乡村全面振兴的意见
新华社
26
2026.03
[中国县域经济报]院企双向奔赴 科产深度融合
中国县域经济报
25
2026.03
[江苏农业科技报]省农科院与省农垦集团深融合作 大院大企“双向奔赴”破解种业难题
江苏农业科技报
25
2026.03
[新华日报]春耕现场正成为“科技主场”
新华日报
25
2026.03
[交汇点新闻]春耕现场,正成为“科技主场”
交汇点新闻
25
2026.03
[紫牛新闻]高德荣:我就是一名普通的农业科技工作者
紫牛新闻
25
2026.03
[扬子晚报网]高德荣:我就是一名普通的农业科技工作者
扬子晚报
查看更多
查看更多
查看更多
查看更多
快捷导航
QUICK NAVIGATION
信息公开
Information disclosure
图书馆
library
官微精选
Official Microblog Selection
意见箱
Suggestions & Complaints Box